Arthrosis na gwiwa hadin gwiwa (Gonartrosis cuta ne mai zurfi wanda ke da rauni a cikin bakin ciki. A cewar kididdigar, kowane mazaunin na biyar na duniya ya sha wahala daga wannan tunanin. Wannan labarin zai yi la'akari da manyan dalilai na Arthrosis, alamun bayyanarsa a kowane mataki, kazalika da hanyoyin ganowa da magani.
Sanadin
Kowace rana, gidajen gwiwa da gwiwa suna fuskantar babban kaya lokacin tafiya. Bayan haka, dole ne su tsayar da taro na gaba daya. A sakamakon wannan, akwai wani suturar a hankali game da ciyawar carlage, wanda shine sanadin canje-canje na cututtukan cuta a cikin gwiwoyi.
Hukumar haɗarin ya haɗa da mutane:
- tsofaffi,
- wahala daga kiba,
- Samun osteoporosis da rikicewar metabolism,
- sun taba samun rauni a gwiwa,
- wakiltar wasu ƙwarewar,
- wahala daga rashi na microlelements,
- tsunduma cikin wasanni masu nauyi.

A mafi yawan mutane shekaru 40, kasancewar arthrosis a cikin na biyu ko daga baya mataki na ci gaba za a iya samu.
Babban bayyanar cututtuka
Tabbas, canje-canje a cikin carilage nama ba zai iya faruwa ba tare da alamu. Tare da cuta, mutum na iya gunaguni game da:
- jin rashin jin daɗi a gwiwoyi bayan farkawa ko dogon -term a cikin zama wuri,
- Zafi a cikin kafafu bayan wani matsayi mai tsayi,
- mai ƙonewa yayin hawa dutsen da sama matakala,
- Rashin rauni a cikin kafafu bayan ɗan ƙaramin kaya, da kuma a ƙarshen rana.
- Wasu marasa lafiya suna da damuwa har da dare, yayin bacci.
Muhimmin! Cutar ba ta faru sosai ba, ya ci gaba tsawon shekaru. Jin zafi a farkon matakan na iya zama marasa wahala, amma a kan lokaci akwai karuwa mai zurfi.
Arthrosis na gwiwa hadin gwiwa 1 digiri
A wannan matakin, Gonoarthrosis yana fara farawa da ci gaba, sabili da haka, tsari yana ci gaba kusan asymptomatic. Koyaya, ana iya ganin wasu alamu.
Mutumin ya fara jin gajiya a cikin kafafu, lura da ɗan raguwa a cikin motsi na biyu ko biyu. Wannan sabon abu yana da halayyar musamman da safe, a farkon mintuna bayan farkawa.
A matsayinka na mai mulkin, sakamakon cutar da cutar ta faru ta hanyar haɗari, a lokacin wani x--cray. A kan shi, likita na iya lura da wasu rashin daidaituwa kan guringuntsi. Hakanan yana yiwuwa a kunshi lumen tsakanin sassan haɗin gwiwa.
Arthrosis na gwiwa hadin gwiwa 2 digiri
Hukumar gwiwa ta gwiwa ta fara bayyana fiye da furcin. Bayyanar ciwo mai zafi shine halayyar, wanda ya fusata da kowane ƙarin nauyin a kan haɗin gwiwa.
Tunani. A wannan matakin, zafin raɗaɗi ya kasance yana da kansa, bayan dogon hutawa.
Bugu da kari, a mataki na biyu, alamomin kamar:
- Cryst tare da wasu ƙungiyoyi. Ana iya lura da duka biyu cikin gwiwoyi biyu. Za'a iya lura da crunchely, amma sannu-sannu yana samun m m, hali da kuma rarrabe dabam.
- Rage ikon don lanƙwasa kafa a gwiwa. Wasu mutane na iya yin wannan ne kawai zuwa kusurwar digiri 90, sannan wani abin mamaki ya bayyana, kuma an tilasta su daina.
- Wasu marasa lafiya da gonartrosis na 2 na farko sun fara gunaguni game da bayyanar zafi mai zafi wanda ke faruwa lokacin da haɗin gwiwa ya tanadi.
- Zai yuwu a canza siffar gwiwa ga haɗin gwiwa, ya fice, kumbura. Wannan ya faru ne saboda tara ruwa ne na ruwa.

Idan ana gano rashin jin daɗi a yankin gwiwa, dole ne ku nemi likita domin ya gabatar da jiyya ta dama.
Arthrosis na gwiwa hadin gwiwa 3 digiri
- A wannan matakin, a cikin haɗin gwiwa na haɗin gwiwa, ana lura da canje-canje masu ƙarfi sosai. Girma waɗanda suke da girman girma suka bayyana a kanta.
- An lura da curvature daga kafafun da abin ya shafa. Yana samun lanƙwasa mai siffa ko x-dimbin siffa ko X-mai siffa, wanda ya zama mummunan matsalar ga cikakken rayuwar mai haƙuri. Sakamakon haka, mutum na iya zama mutumin da ya nakasa.
- Wani halayyar sa shafi na 3 mataki na cutar shine mai zafi sosai, wanda za'a iya lura da kullun bayan wani, har ma da kadan nauyi.
- Mutumin da ya sanar da sha'awar haɗin gwiwa don canje-canje a yanayin. Yanzu da cawan cyclone yana gabato, gwiwa yana ciwo, jan abin mamaki ya taso a ciki.

Tare da shekaru, gidajen sun fara amsa canje-canje a cikin yanayi da matsin lamba.
Arthrosis na gwiwa hadin gwiwa 4 digiri
Babban matsanancinsa ne, matakin karshe na cutar, wanda rata ke tsakanin kasusuwa a gaba daya ba ya nan gaba daya.
Tunani. Yawancin al'adun da suka dace suna sanya mataki na huɗu zuwa na uku. Wannan ya faru ne saboda kamanni da kamanni da kuma hadaddun kamuwa da lokaci.
Tunda rashi wani rata yana lura, motsi na haɗin gwiwa bashi yiwuwa.
Bugu da kari, mai haƙuri yana shan azaba da ba da jingina da ba za a iya jurewa ba, azaba koyaushe, wanda mai tsananin zafi ne kawai. Amma bayan wani lokaci lokacin da aikin kwamfutar hannu ko allura ya tsaya, wani fata alama ta sake bayyana.
Bincike
Binciken mai haƙuri ya fara da bukatarsa don taimako ga ƙwararru. Suna iya zama mai ilimin kwayar halitta ko mara lafiyar mahaifa.
Likita yana jin daɗin gunaguni, tattara ƙarin ƙwayar cuta, gudanar da bincike. Da farko dai, zai yi sha'awar canje-canje na waje a cikin haɗin gwiwa, iyakancewar motsi a yankin sa.

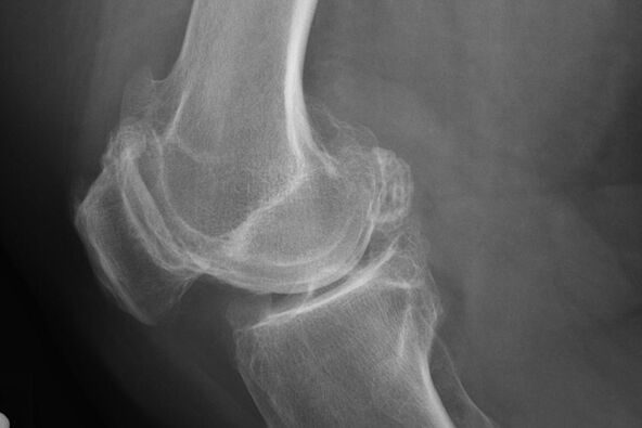
X - zai taimaka wajen gano karkacewa a guringuntsi.
A lokacin da bincike, mai haƙuri yana kuka game da bayyanar da rashin jin daɗi, kuma tare da shine hasken ƙoƙon gwiwa, wata cuta ta ji.
Muhimmin! Tuadin ganowa ba zai yiwu ba bayan wannan binciken gani na likita, har ma a gaban dukkan alamun cutar. Kawai cikakken jarrabawa na ba ka damar bayar da amsar game da cututtukan da ke gudana a gwiwa.
Bayan jarrabawa, likita ya ba da sanarwar mai haƙuri. Wannan shine babbar hanyar gano arthrosis na gwiwa da gwiwa a kowane digiri.
X -ray yana ba da likita game da canje-canje na faruwa a cikin guringuntsi na haɗin gwiwa. Koyaya, a wasu halaye, bazai bayyana matakin farko ba a wannan hoton.
Idan ya cancanta, likita zai iya tallata maimaitawa hanyar X-ray ko lissafi da kuma tarihin goman alade.
Lura
A lokacin da ake gano gano Gonagthrosis, magani mai gaggawa ya fara. Wannan zai taimaka wajen dakatar da ci gaba na ilimin ta, yana hana rikice-rikice da yawa.
Farawar cutar tana bin daddare da yawa a raga lokaci daya. Wato:
- kawar da ciwo mai zafi,
- raguwa a cikin tsananin tsananin alamun,
- matsakaicin yiwuwar maido da garinin da ya shafa da jijiyoyin jiki,
- Karuwa a cikin motsi na reshe.
A lura da cutar ya hada da hanyoyin kamar:
- Magungunan magani,
- tausa, osteopathy, maganin jingina,
- Sa hannun shiga,
- likita da kuma kariya ta jiki ilimi,
- Motsa jiki.
Kula da magani
Tunani. Magungunan magani shine babbar hanyar kula da cutar. Koyaya, yana da nasara idan aka haɗu da sauran hanyoyin.
Abubuwan da kwayoyi suka yi amfani da su don lura da Gonagthrosis sun haɗa da:
- Noonseridal anti -inflammaty kwayoyi - Ka taimake mai haƙuri daga jin zafi, yana sauƙaƙa kumburi. Wadannan kwayoyi sune wakilan alamomi ba tare da shafi dalilin cutar ba. Suna fada kawai tare da bayyanarta, suna kawo taimako na ɗan lokaci.
- Chondroprocrocortors - Mayar da kayan kwalliya. Koyaya, sakamakon ya zama sananne ba nan da nan. Magungunan suna da tarawa (tarawa) kaddarorin, sabili da haka, jiki yana bukatar lokaci don sakamako don samun sakamako.
- Horsal kwayoyi. An wajabta su, a matsayin mai mulkin, tare da matakan da cutar. Wadannan kudaden zasu iya rage kumburi da kumburi da kumburi da kyallen kyallen da ke kewaye da hadin gwiwa. Rashin kyawun wannan aji na kwayoyi shine tasiri mai tsari a jiki, wanda yawancin hanyoyin da ba a ke so ba. An wajabta su ne kawai a cikin darussan lokaci ɗaya, yayin wani mummunan yanayin aikin.
- Kwayoyi na waje, tsara don rage zafi. An sake shi a cikin hanyar maganin shafawa, cream.
- Hyaluronic acid. Wani sabon bayani ne a cikin maganin gonartrosis. Gabatarwa ne na Intra-Fure na hanyar da ke hana hadin gwiwa. Yana da ingantaccen inganci. Koyaya, ana nuna hanyar ta hanyar gajarta kamar: yiwuwar amfani kawai a farkon matakan cutar da babban farashin magani.
Muhimmin! Gabatar da kwayoyi a cikin rafin haɗin gwiwa ya halatta babu lokaci sama da 1 a cikin kwanaki 7-10.
Tausa
Massage, kazalika da manual da jiyya na osteopathachic ana nufin:
- Cire ciwo,
- Cin nasara da taurin motsi a gwiwoyi,
- Inganta samar da jini a wurin guringage,
- Bayar da abinci mai gina jiki da oxygen a fannin kumburi.
Tunani. Mutuwar Massage da irin wannan mutumin da ke da ilimi na musamman. In ba haka ba, zaku iya cutar da kuma ƙara tsananta yanayin yanayin haɗin gwiwa.
Sa baki
Yana da matsananci auna a cikin lura da Arthrosis, lokacin da cutar ta yi sakaci da sauran hanyoyin da ba su da ƙarfi. Mafi sau da yawa, ana amfani da endopretics, wanda aka maye gurbin haɗin gwiwa da abin shafawa.
Prostivenics na iya zama nau'i biyu:
- Cikakken - an maye gurbin duk haɗin gwiwa,
- M - kawai mafi yawan sutturar haɗin gwiwa na articular yana ƙarƙashin sauyawa.
Contraindications ga masu strostenics sune:
- na kullum purulent kamuwa;
- cuta ce ta neuromuscular;
- hanyoyin jijiyoyi;
- Da yawa na cututtukan zuciya.
Wani zaɓi shine daidaita osteotomy. Tare da wannan hanyar, an saka farantin a cikin haɗin gwiwa, yana rage matsin lamba akan yankin da abin ya shafa.
Aikin motsa jiki
Tsarin aiki ne na yau da kullun da madaidaiciyar ayyukan motsa jiki na jiki da nufin karfafa hadin gwiwa da kuma dawo da motsi.
Ana iya yin wannan hanyar da kansa a gida, bayan an tuntube ƙwarewar kwararru don shawara.
Rigakafi
Wadannan ka'idodi masu sauki zasu hana abin da ya faru ko kuma ya haifar da halakar da carlage. Don wannan kuna buƙatar:
- Bi abinci. Wannan zai ba da gudummawa ga ikon nauyin jiki, samar da jiki tare da duk abubuwan bitamin da ma'adanai.
- Bi wasu wasanni, barin wasu. Gaskiyar ita ce tare da Gonickrosis, ɗaukar nauyi a kan gwiwoyin da ba a ke so. A saboda wannan dalili, gudu da tsalle da kyau ya fi dacewa maye gurbin tare da hawa hawa, iyo ko Aquaerobik.
- A kai a kai yin ayyukan warkewa a kai a kai.
- Saka da kwanciyar hankali da tsari mai kyau. Ba a yarda da suttura da manyan sheqa ba, tafin wuta, bayar da fifiko ga takalma tare da karamin diddige.
Arthrosis na gwiwa hadin gwiwa shine cuta mai sauƙaƙe wanda zai iya yin ba'a ba a kula da shi ba. Duk da farkon farawa, Gonagstrosis na iya haifar da rikice-rikice-rikice-rikice, har zuwa nakasa. Saboda haka, yana da mahimmanci don gudanar da bincike a cikin lokaci kuma fara magani mai mahimmanci.


















































